Desa Berdaya EkoBis Entertainment Hukum & Kriminal Hukum dan Kriminal Kawentaran Lifestyle Nasional Otonomi Pendidikan Politik

Peran CT-Scan dalam Diagnosis Stroke Iskemik Dini

Anggi Septian A.P. • Selasa, 10 Juni 2025 | 01:54 WIB
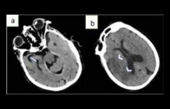
CT-Scan kepala gejala stroke iskemik (a) terlihat Hyperdense Middle Cerebral Artery Sign( HMCAS)di sebelah kanan (tanda panah) (b) Hipoatenuasi parenkim (kepala panah) terjadi setelah satu hari onset.
CT-Scan kepala gejala stroke iskemik (a) terlihat Hyperdense Middle Cerebral Artery Sign( HMCAS)di sebelah kanan (tanda panah) (b) Hipoatenuasi parenkim (kepala panah) terjadi setelah satu hari onset.

RADAR BLITAR - Stroke? Siapa yang belum pernah mendengar tentang stroke? Di lingkungan sekitar, bahkan dalam keluarga sendiri, mungkin ada yang pernah mengalaminya. Stroke bisa datang tiba-tiba  menyerang siapa saja, tak pandang usia atau latar belakang, siapapun bisa mengalaminya. Ada  beberapa jenis stroke, yang paling umum terjadi yaitu stroke iskemik.

APA ITU STROKE ISKEMIK?

Menurut Davenport dan Dennis, stroke secara umum terbagi menjadi dua jenis utama, yaitu stroke iskemik dan stroke hemoragik. Stroke iskemik terjadi akibat terhambatnya aliran darah ke otak yang disebabkan oleh pembentukan bekuan darah (trombosis) atau oleh benda asing yang terbawa aliran darah (emboli).

Sementara itu, stroke hemoragik disebabkan oleh pecahnya pembuluh darah yang menimbulkan perdarahan di otak. Di negara-negara Barat, sekitar 80% kasus stroke yang tercatat merupakan stroke iskemik, sedangkan sisanya adalah stroke hemoragik.

Stroke iskemik ditandai oleh gangguan fungsi atau kerusakan jaringan otak akibat kurangnya pasokan darah dan oksigen. Kekurangan suplai ini menyebabkan sel-sel otak mulai mati dalam waktu singkat, jika tidak segera mendapat penanganan medis, kondisi ini dapat menyebabkan kelumpuhan permanen hingga kematian.

Setiap detik yang berlalu, semakin banyak jaringan otak berharga yang terancam hilang selamanya. Inilah kenyataan mengerikan dari stroke iskemik, penyumbatan pembuluh darah otak yang memutus pasokan oksigen dan nutrisi vital.

Disinilah kecepatan diagnosis bukan hanya penting, tapi benar-benar penentu hidup dan kematian fungsi otak. Pada stroke iskemik akut, rata-rata 1,9 juta sel saraf otak mati setiap menitnya, semakin lama aliran darah terhambat, semakin luas dan semakin parah kerusakan otak yang terjadi.

Kerusakan ini bisa menyebabkan efek berbeda antara pulih sempurna, hidup dengan kelumpuhan, kesulitan bicara, atau bahkan kematian. Diagnosis yang cepat juga mencegah kerusakan berantai dari stroke iskemik yang dimana penyumbatan tidak hanya membunuh sel-sel di area inti yang langsung kekurangan darah.

Area di sekitarnya, disebut penumbra juga terancam karena aliran darahnya yang sangat berkurang. Area penumbra ini masih bisa diselamatkan jika aliran darah dipulihkan dengan cepat. Diagnosis yang lambat berarti area penumbra yang berharga ini ikut mati, memperluas kerusakan permanen.

KEUNGGULAN CT-SCAN DALAM DETEKSI STROKE ISKEMIK

Pada penyakit stroke, Computed Tomography Scan (CT-Scan) merupakan pemeriksaan baku emas untuk membedakan jenis stroke iskemik (penyumbatan) karena CT-Scan dapat memberikan gambaran kepala yang sangat jelas tentang proses desak ruang intrakranial seperti infark otak, maupun perdarahan intrakranial.

Baca Juga: Panik! Balon Udara Jatuh di Atap MAN Kota Blitar Disertai Petasan Belum Meledak, Polisi: Sudah Kami Amankan

Meskipun tidak sepeka Magnetic Resonance Imaging (MRI) dalam mendeteksi stroke iskemik tahap awal, CT-Scan tetap menjadi pilihan utama dalam diagnosis awal stroke karena kecepatannya sehingga pemeriksaan ini hanya membutuhkan beberapa menit dalam menghasilkan gambar otak sehingga sangat berguna dalam kondisi darurat medis di mana setiap detik sangat berharga.

Selain itu, dengan menggunakan Computed Tomography Angiography (CTA) mampu melihat kondisi pembuluh darah otak secara lebih detail (identifikasi sumbatan yang menyebabkan stroke).

Stroke iskemik dapat terdeteksi melalui modalitas CT-Scan, salah satu tandanya adalah adanya Hyperdense Artery Sign (HAS) yang terlihat pada CT-Scan kepala.

HAS dianggap sebagai indikasi adanya thrombus di dalam lumen arteri, yang ditunjukkan oleh kepadatan yang lebih tinggi dibandingkan arteri normal, dan biasanya terdeteksi pada Middle Cerebral Artery (MCA) sebelum terlihat hipoatenuasi pada parenkim otak. Pada CT-Scan kepala, tanda hipoatenuasi parenkim dan HAS merupakan indikasi dari stroke iskemik.

KESIMPULAN

Stroke iskemik merupakan kondisi medis yang sangat berbahaya dan membutuhkan penanganan secepat mungkin. Jenis stroke ini terjadi karena adanya hambatan aliran darah ke otak, baik akibat bekuan darah (trombosis) maupun emboli. Semakin cepat diagnosis ditegakkan, semakin besar peluang untuk menyelamatkan jaringan otak, khususnya area penumbra wilayah di sekitar inti stroke yang masih bisa diselamatkan bila suplai darah dipulihkan segera. Salah satu keunggulan CT-Scan adalah kemampuannya mendeteksi tanda khas stroke iskemik seperti HAS yang muncul akibat adanya thrombus di arteri otak, serta tanda hipoatenuasi parenkim sebagai indikasi kerusakan jaringan otak. Kedua tanda ini menjadi indikator penting dalam menegakkan diagnosis stroke iskemik.

REFERENSI

  1. Fanani, A. F. (2022). Analisis Citra Computed Tomography Scan Kepala Pada Kasus Stroke Iskemik Dengan Variasi Slice Thickness (Doctoral dissertation, Universitas Widya Husada Semarang).
  2. Salman, I. P. P., Haiga, Y., & Wahyuni, S. (2022). Perbedaan diagnosis stroke iskemik dan stroke hemoragik dengan hasil transcranial doppler di RSUP Dr. M. Djamil Padang. Scientific Journal, 1(5), 393-402
  3. Kabi, G. Y., Tumewah, R., & Kembuan, M. A. (2015). Gambaran faktor risiko pada penderita stroke iskemik yang dirawat inap neurologi RSUP Prof. Dr. RD Kandou Manado periode Juli 2012-Juni 2013. e-CliniC, 3(1).(*)
Editor : Anggi Septian A.P.
#stroke #ct-scan